更年期會「腦霧」?研究發現:與灰質縮減有關 但能自我修復
記者鄧天心/綜合報導
更年期不僅影響女性荷爾蒙和生理狀態,連大腦也會跟著改變?科學家發現,在更年期期間,大腦某些區域的體積會縮小,白質(神經訊息傳遞的主要通道)也可能出現損傷,導致記憶力下降、注意力變差、思考變慢等現象,不過最新研究指出,這些變化並非無法逆轉,大腦隨時間仍具備一定的適應與恢復能力。

延伸閱讀:
Google DeepMind 有重大突破 AI助攻癌症治療新方向
這項研究成果將於 10 月 21 日至 25 日,在美國奧蘭多舉行的 2025 年「更年期學會」(The Menopause Society)年會上發表。
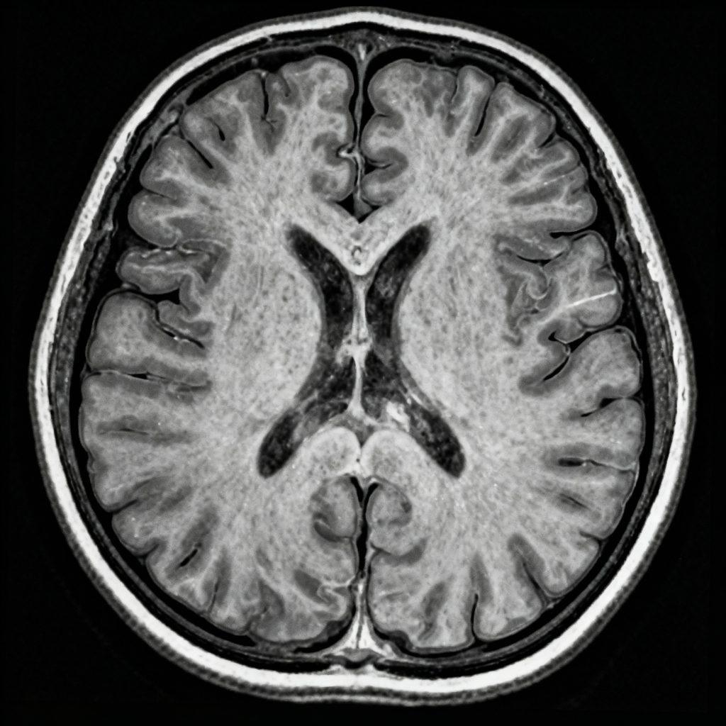
研究指出,更年期與「灰質體積下降」有關,特別影響掌管記憶、思考與決策的額葉、顳葉及海馬迴。這些區域的萎縮會導致語言記憶力和空間判斷能力變差。
MRI(磁振造影)影像也發現,女性在更年期期間常出現白質高亮點(white matter hyperintensities),這些影像異常可能反映出細微的組織損傷。尤其是早發性更年期或經常有熱潮紅的女性,這類現象更為明顯,可能與腦部血流減少有關。若問題持續惡化,可能增加中風、失智及情緒變化的風險。
好消息是,部分研究顯示在更年期結束後,大腦灰質體積有機會部分恢復,顯示出神經具有「可塑性」,也就是能重新建立新的連結。研究也發現,更年期過渡期女性的大腦中雌激素受體密度上升,顯示大腦似乎在試圖彌補激素下降的影響。
不過,這樣的變化並不全然代表改善,一些人仍可能出現記憶力下降。血管反應性與能量代謝的改變也提醒科學家,更年期對神經健康的影響是長期且多層面的。
這項文獻回顧由波多黎各龐塞健康科學大學(Ponce Health Sciences University)行為與腦科學學院 BRAVE 實驗室博士生安赫莉卡・羅德里奎茲(Angélica Rodríguez)與安德莉雅・佩雷拉(Andrea Pereira)共同進行,由芭芭拉・巴羅絲博士(Dr. Bárbara Barros)與卡拉・馬丁尼茲博士(Dr. Karla Martínez)指導。團隊整理並分析了大量探討更年期與大腦結構變化的研究,並將成果發表為主題為「更年期與大腦結構變化:文獻回顧」的海報論文。
「這項研究突顯了了解更年期與大腦變化的重要性,因為這能幫助我們更清楚女性在這個階段所面臨的記憶、情緒與行為挑戰。」羅德里奎茲表示。
更年期學會醫學總監史蒂芬妮・富比恩醫師(Dr. Stephanie Faubion)也指出:「這項研究是理解更年期期間大腦結構變化的重要一步,希望未來能根據這些資料,開發出能改善女性認知問題的治療方法。」
資料來源:ScienceDaily
![]()






